New Open矯正専門医院
「横浜 まつざわ矯正歯科」
を
新規開業しました
矯正専門の歯科医院「横浜 まつざわ歯科医院」の院長・松澤匡純は日本矯正歯科学会を始め、複数の学会の認定医であり、歯の裏側に装置を付ける目立たない治療方法を得意としています。矯正治療を通して、患者さまの歯並びの悩みを解決し、お口の健康をお守りします。
保育士の資格を持つスタッフが在籍していますので、小さなお子さまがいる方も安心して通えます。
矯正専門医院
最先端設備を導入
専門性の高い院長
ワイヤー・マウスピース
対応
News
お知らせ
-
お知らせ 2025.08.05
新しい予約システムの導入について -
お知らせ 2024.12.21
年末年始休診のお知らせ
ブログ
-
ブログ 2025.08.05
信頼できる矯正歯科の選び方|信頼できる医院を見極める 10のポイント -
ブログ 2025.07.08
口ゴボとは?原因・セルフチェック・治療法まで|横浜の矯正専門医がわかりやすく解説
Case当院の症例
-
マウスピース矯正,
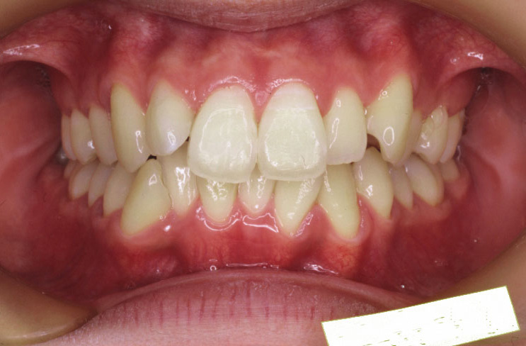
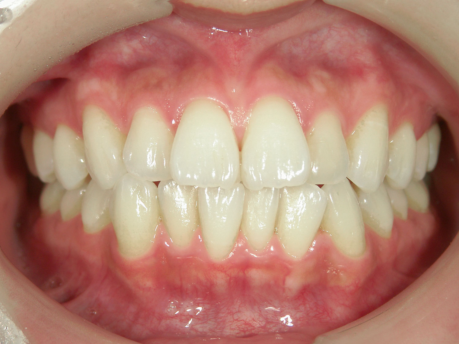
ガタガタをマウスピース矯正(インビザライン)で改善した症例(横浜市・20代女性)|横浜まつざわ矯正歯科
2025.04.17
症例
-
裏側矯正,
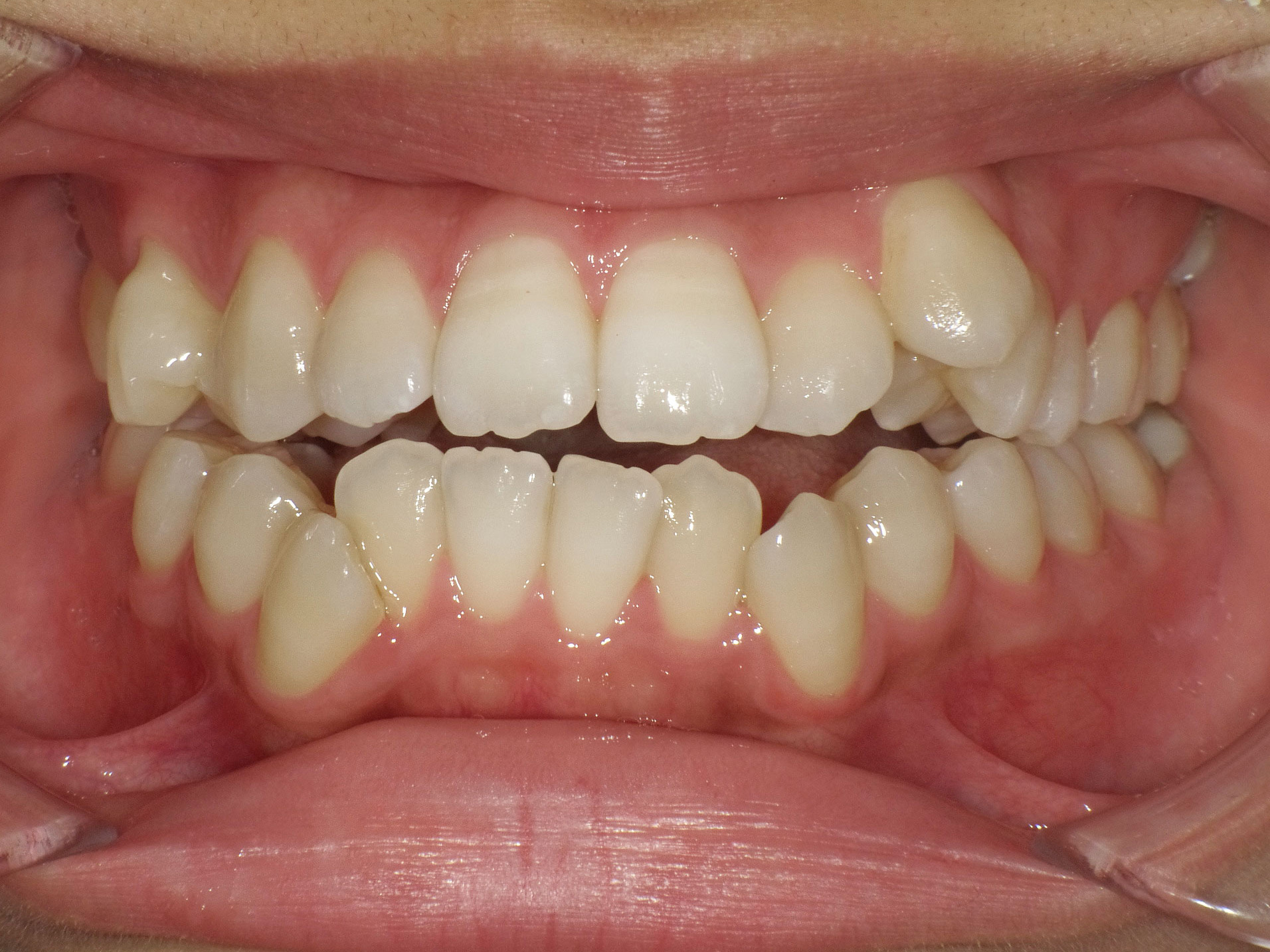
ガタガタを裏側矯正(リンガル矯正)で改善した症例(横浜市・20代女性)|横浜まつざわ矯正歯科
2025.04.17
症例
-
裏側矯正,
開咬(オープンバイト)を裏側矯正で改善した症例(横浜市・20代女性)|横浜まつざわ矯正歯科
2025.04.08
症例
-
マウスピース矯正,
ガタガタをマウスピース矯正で改善した症例(横浜市・20代女性)|横浜まつざわ矯正歯科
2025.04.08
症例
Orthodontics「見えない」「目立たない」
「気づかれない」
裏側矯正治療
確かな技術で
健康的で美しい笑顔を
反町の「横浜 まつざわ歯科医院」は、「表から見えない」「目立たない」裏側矯正治療を得意としています。歯並びや歯は、生涯付き合っていくものです。お口や全身の健康状態を左右する大切なものだからこそ、より良い状態にしてあげましょう。「矯正治療は装置が目立つから嫌」などの理由でためらっている方も、ぜひ裏側矯正をお試しください。理想の歯並びを叶え、笑顔が健康的に輝くように導きます。
国内外で研鑽を積んだ
認定医による矯正治療
-
日本矯正歯科学会 認定医
-
ヨーロッパ舌側矯正学会
アクティブメンバー(認定医) -
世界舌側矯正学会
アクティブメンバー(認定医)
当院の院長は大学・大学院にて矯正治療を専門的に学び、歯学博士号も取得しました。さらに、複数の矯正歯科学会に所属し、国内で活動している矯正歯科に特化した学会の中で最大の会員数を誇る日本矯正歯科学会において、認定医を取得しています。その他にも裏側矯正の学会である世界舌側歯科学会、ヨーロッパ舌側矯正歯科学会のアクティブメンバー(認定医)も習得しており、国内外問わず、たくさんの症例や治療法について学び、学会でも最新の技術や研究を行うなど、日々研鑽を積み上げています。「得た知識や技術を患者さまに還元したい」という思いで、矯正治療を行っています。
歯科用CTによる
三次元的な精密検査を基に
個人個人に合ったオーダーメイドの
治療計画を立案
歯科用CT 完備
治療前に、従来のレントゲンの他に歯科用CTを用いた三次元で正確な精密検査を行い、歯だけでなくあごの骨の形態とその位置関係も確認します。歯並びの乱れや不正は顎骨の形態や変形が原因で起こる場合もあるため、事前にお口の状態はもちろん、顎の骨や関節、鼻腔内の環境や気道の広さなど歯並びに関わる可能性のある様々な要因を正確に把握することで、患者さま一人ひとりに合ったオーダーメイドの治療計画の立案や精度の高い矯正治療には必要不可欠だからです。
Makes me smile不安や悩みと向き合い
最高の笑顔を目指します
お口の状態は千差万別で一人ひとり異なります。れに加えて、気になるポイントや悩みも人それぞれです。横浜反町で裏側矯正を得意とする「横浜 まつざわ矯正歯科」では、じっくり時間をかけながらコミュニケーションをとって悩みや希望を共有したうえで、その人に合ったベストでより良い治療法をご提案し、一緒に相談、検討します。整った歯並びと美しい口元で自信をもって最高の笑顔になれるよう、当院スタッフとともにゴールを目指しましょう。
Recommendation裏側矯正は
このような方に
おすすめです
- 装置が見えたり
目立つ矯正治療は嫌… - 自分の歯並びも良くなるの?
- 矯正治療は一生に一度だし
妥協したくない… - 矯正専門の先生に
治療をして欲しい…
矯正治療の専門知識・技術・経験豊富な院長が、「装置が見えない・目立たない」裏側矯正治療でお悩みを解決します。歯並びの悩みや矯正治療への不安など、ぜひ気軽にお聞かせください。
裏側矯正治療の
つのメリット
「装置が見えない」だけじゃない
裏側矯正だから実現できる
美しく機能的な口元
裏側矯正だから実現できる美しく機能的な口元裏側矯正は、装置が見えないことだけがメリットではありません。裏側矯正治療では、患者さまの口や歯の形に合わせてカスタマイズした装置を取り付けて行います。
オーソドックスで一般的によく知られている表側矯正に比べて、裏側矯正は高度な技術と経験が要求されますが、世界舌側矯正学会・ヨーロッパ舌側矯正歯科学会の認定医である当院院長の技術があれば、より良い噛み合わせに近づけることが可能です。また、裏側矯正において一般的に適応と言われている症例より、幅広い治療実績があります。他院で裏側矯正が難しいと言われた方でも、是非相談にいらしていただければと思います。
装置が表から見えない
歯の裏側に矯正装置を取り付けるため、口を開けても覗き込むなどしなければ、他の人から見えることがありません。そのため、矯正治療中も気づかれずに済みます。「矯正治療をしたいけれど見た目が気になる」「見えない方法で矯正治療したい」方に裏側矯正はおすすめです。
対応症例が幅広い
オーソドックスな表側矯正と同じように、ワイヤーにより歯を動かす治療法です。そのため、ほとんどの症例に対応できます。たとえば、重度の症例で抜歯が必要となり、マウスピース矯正では対応できないケースでも、裏側矯正であれば目立たず矯正治療を行えます。
整う様子が
分かりやすい
表側矯正の場合、歯の表面に装置があるため、治療の変化や歯並びの細かな変化が分かりにくいデメリットがあります。しかし、裏側矯正は表から装置が見えないため、鏡などで歯並びの変化もひと目で分かります。歯並びが整っていく様子をダイレクトで確認できるため、治療のモチベーションを保ちやすいでしょう。
虫歯リスクを
抑えやすい
表側矯正の場合、歯の表面に装置があるためブラッシングしやすいですが、奥歯は見えにくいというデメリットがあります。それに加えて表側は唾液の分泌量が少なく自浄作用が働きにくくなり、虫歯リスクが高まります。しかし、裏側矯正は歯の裏側に装置があるので、直接見づらくブラッシングがしづらいですが、フロスなどの糸ようじはやりやすいのが特長です。また、歯の裏側は唾液の分泌量が多く口の中に回りやすいため自浄作用が働きやすく、表側矯正に比べて虫歯リスクが抑えられます。
治療期間が
短い
一般的に裏側矯正は、治療期間が長くなりやすいと言われます。しかし、当院の院長は裏側矯正で世界有数の実績を持つ歯医者に在籍した経験があり、多くの症例を経験してきました。深い知識と高い技術を持っているので、表側矯正と同等の期間で治療が可能です。
理想を叶える
さまざまな治療法のご案内
Mouthpiece Orthodontics
取り外しも簡単!
「透明で目立たない」
マウスピース矯正
透明な素材でできたマウスピースを装着し、目立たず矯正を行う治療法です。ワイヤー矯正と比べてゆっくり歯を動かすため、治療中の痛みや違和感が少ないのが特長です。また、少しコツがいりますが、慣れれば簡単に取り外しできるため、食事やブラッシングもスムーズに行えます。周囲の人に気づかれず、快適に矯正治療したい方におすすめです。
世界でも
症例多数
マウスピース矯正治療
「インビザライン」
を取り扱っています
インビザラインは、世界中で多くの患者が利用しており、トラブルがあった際も柔軟に対応が可能です。さまざまなマウスピース矯正の中で、症例や実績や圧倒的に多いのが特長です。
※薬機法対象外
iTeroを使用し、患者さまの負担少なく
お口のデータを採取できます
当院では、最新の口腔内スキャナーを使用し、患者様のお口の中をかざすだけで精密な歯科データを取得できます。痛みや不快感がないうえ、伝統的な型取りよりも正確性が高く、効率的な治療計画を立てることができます。短時間で採取できますので、患者様の護符さんを最小限に抑えることが可能です。
Orthodontia for Children
癖の改善と成長促進
将来のための小児矯正
唇や舌の癖や習慣を改善したり、成長を利用して顎骨を大きくさせ歯が並ぶスペースを確保したりして、永久歯がきれいに生え揃う土台をつくります。歯並びを整えることは、見た目だけでなく、虫歯などの病気リスクを下げることにつながります。また、噛み合わせを良くすることで健康にもつながります。お子さまの健康な将来のために、成長段階だからこそできる小児矯正を始めましょう。始めるタイミングが非常に重要ですが、分かりづらいです。是非、気軽に相談に来ていただければと思います。
General Dentistry一般歯科も
受け付けています
「痛い」「困った」など、
お口や歯の悩みをご相談ください。
矯正治療だけでなく、虫歯・歯周病治療などの治療も受け付けています。
永久歯は虫歯になると元には戻りませんし、抜けてしまうと新たに生えてくることはありません。虫歯・歯周病などを放置すれば、大切な歯を失うことにつながりかねません。痛み・違和感は我慢せず、将来のためにもすぐにご相談ください。「詰め物・被せ物が取れた」「歯が欠けた」「強い痛みがある」など緊急の場合は、すぐにお電話にてご相談ください。
Concept皆さまに信頼され、
地域に愛される歯医者
であるために
-
見た目だけでなく
正しく機能する噛み合わせを
重視した治療 -
矯正治療は、見た目を整えるだけの治療ではありません。歯並びや噛み合わせが乱れていると、虫歯や歯周病のリスクが高まります。反町で裏側矯正を得意とする「横浜 まつざわ歯科医院」では矯正治療を通して、前歯から奥歯までしっかり機能する噛み合わせをつくり、大切な歯の健康を守ります。患者さまの健康のために全力を尽くします。
-
むやみに歯を抜かない治療
-
当院では、むやみに抜歯することはありません。できる限り生かすように考え検討します。天然の歯は患者さまの大切な身体の一部だからです。当院では、患者さま第一の治療をご提供します。
場合によっては歯を抜いたほうが、より良いこともあります。その場合は、しっかり説明をさせていただき、納得した上で処置を行っていきます。
-
なるべく痛くない治療
-
麻酔注射の痛みを最小限に抑えるため、事前の表面麻酔の実施や電動麻酔器の使用、麻酔薬の温度や、ちょっとしたテクニックなどさまざまな工夫をしています。患者さまの心身の負担を少しでも軽減するため、できる限り痛くなく快適に治療ができるように心がけています。
-
患者さまと信頼関係を築く
丁寧なカウンセリング -
患者さまの不安な気持ちを少しでも和らげるためにも、治療について正しくご理解いただくためにも、そして患者さまと信頼関係を築くためにも、時間をかけて丁寧にカウンセリングを行います。ユニットやカウンセリングルームにて検査結果を一緒に確認しながら、分かりやすくご説明します。
-
患者さまが安心できる
衛生的な治療環境の整備 -
患者さまが安心して治療を受けられるように、徹底した衛生管理を行っています。たとえば、歯を削るのに使うハンドピースは、血液やタンパクが付着するので、治療後はオイル洗浄から専用の滅菌器を使用しています。他にも、ディスポーザブル品(使い捨て)の使用、院内の空気清浄化やアルコール消毒など、徹底した衛生管理を行っています。
Greeting素敵な笑顔になっていただくために
歯医者としてできること
Greeting素敵な笑顔に
なっていただくために
歯医者としてできること
矯正治療は治療期間が長いため、患者さまとも長いお付き合いになります。そのため、コミュニケーションを重視して、お互いに信頼しあえる関係性を構築することが大切です。快適でゆったりできる空間と、納得いただけるような丁寧なカウンセリングを重視しています。また、時には世間話をしあい、笑顔でお帰りいただけるような歯医者を目指しています。
横浜 まつざわ矯正歯科






