症例
- 反町で舌側矯正(裏側矯正)なら「横浜 まつざわ矯正歯科」
- 医院からのお知らせ
- 症例
- 開咬(オープンバイト)を舌側矯正(裏側矯正)で改善した症例(横浜市・20代女性)|横浜まつざわ矯正歯科
開咬(オープンバイト)を舌側矯正(裏側矯正)で改善した症例(横浜市・20代女性)|横浜まつざわ矯正歯科
タグ: 舌側矯正(裏側矯正),
舌側矯正(裏側矯正)にて治療
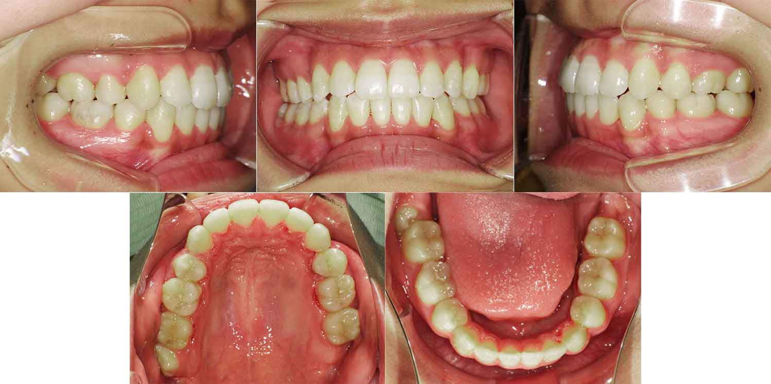
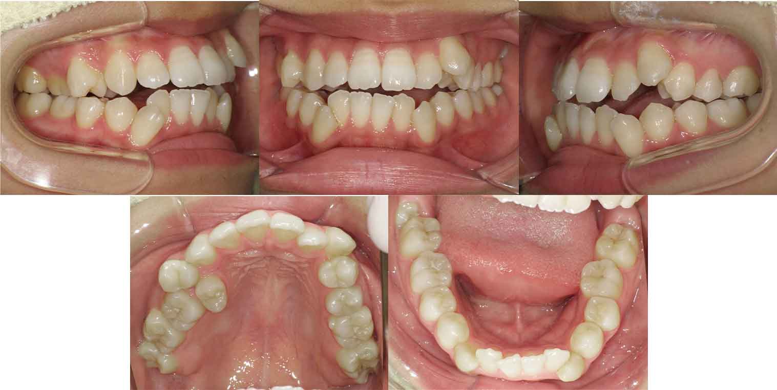
横浜市にお住まいの20代の女性の症例をご紹介。前歯のガタガタと開咬で悩まれている患者さんでした。上下左右の4番目の歯(第一小臼歯)を抜歯して舌側矯正(裏側矯正)でアンカースクリューと顎間ゴム(エラスティック)を併用して改善しました。
治療前
治療後
| 主訴 |
前歯にガタガタがあって、かみ切れない |
|---|---|
| 診断名 |
叢生(ガタガタ、でこぼこ) |
| 治療の方法 |
舌側矯正(裏側矯正)+アンカースクリュー |
| 患者様の年齢 |
20代女性 |
| 治療期間 |
2年4か月 |
| 治療費 |
〇検査・診断料 33,000円(税込) |
| 治療の説明 |
ガタガタ、前歯でかめないことを主訴に当院を受診されました。 |
| 治療する際に起こる リスク・副作用 |
矯正治療は、患者様のすべての方に以下のリスクがあります。 |
前歯の叢生(ガタガタ)と開咬を、舌側矯正(裏側矯正)で改善した20代女性の症例をご紹介。アンカースクリューやゴムかけを併用し、機能と見た目を両立した治療事例です。横浜まつざわ矯正歯科。
監修:院長 松澤 匡純(日本矯正歯科学会認定医・世界舌側矯正歯科学会認定医・ヨーロッパ舌側学会認定医)
横浜市反町駅の
矯正専門の歯科医院
横浜 まつざわ矯正歯科

〒221-0825
神奈川県横浜市神奈川区反町2丁目14-5
【月曜日】13:00~20:00
【火・水】10:00~13:00/
14:00~18:30
【金曜日】13:00~20:00
【土曜日】9:00~17:00
※休診日:木曜・日曜・祝日

