症例
- 反町で裏側矯正なら「横浜 まつざわ矯正歯科」
- 医院からのお知らせ
- 症例
- ガタガタをマウスピース矯正(インビザライン)で改善した症例(横浜市・20代女性)|横浜まつざわ矯正歯科
ガタガタをマウスピース矯正(インビザライン)で改善した症例(横浜市・20代女性)|横浜まつざわ矯正歯科
タグ: マウスピース矯正,
インビザライン(マウスピース矯正)にて治療
治療前
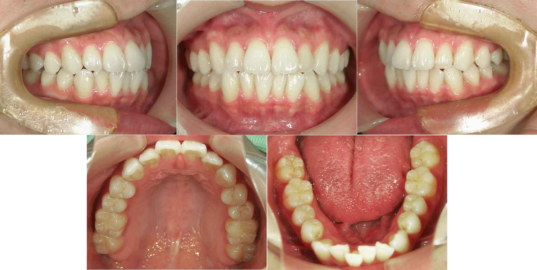
治療後
| 主訴 |
前歯にガタガタがある |
|---|---|
| 診断名 |
叢生(ガタガタ、でこぼこ) |
| 治療の方法 |
マウスピース矯正(インビザライン) |
| 患者様の年齢 |
20代女性 |
| 治療期間 |
8か月 |
| 治療費 |
〇検査・診断料 33,000円(税込) |
| 治療の説明 |
ガタガタを主訴に当院を受診され、上下顎前歯部に叢生(ガタガタ、でこぼこ)を認めました。 |
| 治療する際に起こる リスク・副作用 |
矯正治療は、患者様のすべての方に以下のリスクがあります。 |
患者様の声
他院で、歯を抜かないといけないと言われたり、1年以上かかると言われましたが、歯を抜かずに治療できたし早く終わったので良かったです!
監修:院長 松澤 匡純(日本矯正歯科学会認定医・世界舌側矯正歯科学会認定医・ヨーロッパ舌側学会認定医)
横浜市反町駅の
矯正専門の歯科医院
横浜 まつざわ矯正歯科

〒221-0825
神奈川県横浜市神奈川区反町2丁目14-5
【月曜日】13:00~20:00
【火・水】10:00~13:00/
14:00~18:30
【金曜日】13:00~20:00
【土曜日】9:00~17:00
※休診日:木曜・日曜・祝日

